×

Bize ulaşın 0545 565 13 47

KÖK KANAL TEDAVİSİ

Tedavi Hakkında

Dişlerde meydana gelen çürük veya travma bağlı nedenlerle dişin iç kısmında bulunan ve dişe canlılığı sağlayan damarlar ve sinirlerden oluşan bölgenin (pulpa) iyileşemeyecek şekilde zarar gördüğü ya da öldüğü durumlarda uygulanan bir tedavidir.

Types of teeth implants

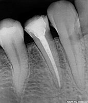
Dişin merkezinden kök ucuna kadar mesafede bulunan sinirlerin alınıp, diş köklerinin içinde bulunan kanalların genişletilip kök ucuna kadar mikroorganizmalardan temizlenmesi ve daha sonrasında genişletilmiş ve temizlenmiş olan kök kanalların doku dostu malzemeler ile doldurulması işlemidir. Bu tedaviden sonra dişin görünen kısmındaki kalan madde miktarına göre hekiminizin uygun gördüğü dolgu, porselen kaplama, porselen dolgu gibi restorasyonlar yapılır ve dişin hem estetik hem de fonksiyonel olarak devamlılığı sağlanır. Kanal tedavisi öncesi muayene önemlidir ve tespitte bulunurken genellikle radyolojik olarak ta değerlendirmek gerekmektedir.

Types of teeth implants

Dişten alınan detaylı röntgen (periapikal) ile kök ve çevre dokular değerlendirilir. Bundan sonra ağız içi muayenede dişte var olan soğuk sıcak hassasiyetleri değerlendirilir ve tedaviye karar verilir. Dişin canlı olup olmadığı tedavinin seyrini etkilemektedir.

Tedaviye Uygun muyum?

Kanal tedavisi kimlere yapılır?

ilerlemiş çürük ve ya travma sebebiyle kaybedilebilecek ağrılı ve iltihaplı durumdaki dişlerin kök kanallarının iç kısımlarında bakterilerden etkilenmiş tüm kısımlarının temizlenerek, uzun bir süre daha ağızda kalmasını sağlayabileceğimiz ve fonksiyonlarını devam ettirebileceğimiz dişleri bulunan hastalara sıklıkla uygulanan bir tedavidir.

Kanal tedavisi sayesinde hem doğal diş yapısı korunur hem de implant diş, porselen kaplama gibi daha maliyetli bir tedaviye ihtiyaç duyulmadan problem ortadan kalkmış olur.

Kanal tedavisi sayesinde ağız içinde hayatına devam eden canlılığını yitirmiş olan diş tekrardan çiğneme, konuşma gibi fonksiyonlarını sürdürecektir. Dişin ölü olması fonksiyonlarını yitirdiği manasına gelmez ve çene kemiği içerisinde bulunan doğal kök yapısından dolayı bölgede kemik fonksiyonel kalacak ve erimeyecektir.

  • Dişlerine veya çenesine darbe almış olan hastalara
  • İlerlemiş çürük sebebiyle dişleri ağrılı hale gelen hastalara
  • İleri seviyede diş eti hastalığına sahip dişleri olan hastalara
  • Dolguları veya porselen kaplamalarında yükseklik bulunan ve kapanışı doğru ayarlanmamış dişlere sahip hastalarda
  • Hatalı ortodontik tedavi sebebiyle fazla kuvvet uygulanmış dişleri bulunan hastalara

Hazırlık Aşaması

Hastaların tedavi öncesi hazırlık aşamasında özellikle dental hikayesi çok önem arz eder çünkü tedavi planlanan dişe ait ağrı ve varsa apse geçmişini iyi bilmek ve hastanın şikayetini net bir şekilde anlamak gerekir. Tedavi öncesi hazırlık aşamasında hekim tarafından ağız içi muayenenin yapılması ve radyolojik olarak ta kanal tedavisi gerekliliğinin saptanması önem arz eder. Kanal tedavisi planlanan dişin köklerinin eğimi, uzunluğu ve anatomik oluşumlar ile ilgili komşulukların detaylı bir şekilde değerlendirilmesi de çok önemlidir. Köklerde mevcut olan fazla eğim yada köklerin üst çenede sinüs ile alt çenede de mandinbüler sinir ile yakın ilişkili halde olması tedavi planlamasında önemlidir ve işlemde kullanılacak olan protokolü etkiler. Aynı şekilde hastanın medikal geçmişi ve kullandığı ilaçlar değerlendirilerek tedaviye hazırlık yapılmaktadır. Gebelerde 1-3 trimester dönemlerinde, kontrol altında olmayan kronik hastalıklara sahip kişilerde ve kemoterapi veya radyoterapi gibi kanser tedavisi gören hastalarda tıp hekimleri ile konsültasyon yapılması ve onay verilmesiyle tedavi gerçekleştirile bilinir.

Tedavi Aşaması

Kanal tedavisi nasıl yapılır ve ne kadar sürer?

Öncelikle hastanın işlem yapılacak diş bölgesine lokal anestezi uygulanır ve kanal tedavisi yapılacak olan diş uyuşturulur. Bu sayede tedavi esnasında hasta herhangi bir ağrı veya acı hissetmez. Daha sonra dişte mevcut olan tüm çürük doku temizlenir ve çürük dişin sinirlerini de etkilediği için o bölgeye kadarda dişte bir boşluk oluşturulur

Types of teeth implants

Damar ve sinir bulunan dişin merkezindeki bu odaya ve kök kanallarının içine bu noktadan ulaşılır ve çeşitli özel aletler sayesinde köklerin içleri temizlenip dezenfekte edilir. Tamamen temizlendiğinden ve bakterilerden arındığına inandığımız kök kanallarının içi özel ve doku dostu bir dolgu maddesiyle doldurulur.

Types of teeth implants

Eğer kök kanalları tamamen tek seferde temizlenmediyse ve dişte aktif bir abse iltihap mevcut ise kök kanallarının içi ortamı dezenfekte eden bir malzemeyle doldurulur ve üzeri geçici olarak kapatılır. Kök ucunda iyileşme gerçekleşene kadar bu işlem seans seans tekrarlanmaktadır. Dişin durumuna bağlı olarak kanal tedavisi tek yada çok seans sürebilmektedir. Kök kanallarının dolgusunun yapılmasından sonra dişin final restorasyonu yapılmaktadır.

Kanal tedavisi sırasında dikkat edilmesi gerekenler

Kanal tedavisi ara seansları sırasında dişinizle sert besinler çiğnememeniz önerilmektedir. Çünkü dişe travma gelmesi iyileşmeyi geciktirebilir ve dişin son dolgusu olmadığı için dişin var olan zayıflamış duvarlarında kırılma meydana gelebilir. Seans aralarında ağrınız olabilir ve normaldir bu durumda pansuman yapılması için hekiminize başvurunuz. Seans aralarında yüzde şişme meydana gelebilir. Kaygılanacak bir şey yoktur, mikroorganizmaların ortaya çıkardığı bu reaksiyon pansumanlarla düzeltilir. Bu durumda yine hekiminize başvurunuz.

Sıkça Sorulan sorular

Dişlerde meydana gelen çürük zamanla dişin sert dokularına (mine-dentin) etki ederek yapısını bozmaya başlar. Çürük doku zamanla ilerleyerek dişin içindeki damar ve sinirlerden oluşan dişin canlılığını sağlayan pulpaya yaklaşmaya başlar ve çürük dokunun içinde var olan bakterilerin ürettiği asitler ve atıklarda canlı dokuyu etkilemeye başlar.

Types of teeth implants

Canlı dokunun etkilendiği aşamalarda dişlerde genellikle sıcak gıdalarda ve sıvılarda hassasiyet veya özellikle geceleri kendi kendine meydana gelen ağrılar görülmeye başlar. Tedavi edilmediği zaman bu bakterilerin salgıladığı atıklar ve asitler canlı dokuyu öldürür. Sonuçta canlı dokunun ölümü ile açığa çıkan atıklar ve toksinler(zehirler) kök ucunda olan dar delikten dışarı ilerleyerek çene kemiğinin içerisinde yayılır ve orada apse oluşmasına sebep olurlar.

Apse olarak adlandırdığımız iltihap dokusunu dişe destek sağlayan kemik dokularda harabiyete neden olur ve daha ileri aşamalarda yüzde şişlik meydana gelmesine bile sebep olmaktadır.

Diş çekimi genellikle kök kanal tedavisine göre daha ucuz bir tedavi yöntemidir ve ilk anda ekonomik olarak mantıklı bir tedavi alternatifi gibi görünebilir. Fakat kanal tedavisi ile kurtarılabilecek bir dişin kaybı hem yerine yapılacak olan implant ve köprü protezleri gibi masraflı hem de doğal diş kadar da natürel olmayacaktır. Her zaman seçimlerimizi mevcut doğal dişlerden yana kullanmalıyız. Çok uzun tedavi ihtiyacı olmasına karşın tedavi edilmeden kalmış dişleri bazen kanal tedavisiyle de kurtarmak mümkün olmayabilir. O zaman dişin çekimi gerekebilir. Bu durumla da baş başa kalmamak için ağız ve diş sağlığı bakımımızı ihmal etmememiz ve düzenli olarak 6 ayda bir diş hekimine kontrole gitmemiz gerekmektedir.

Kök kanal tedavisi genellikle dişin çekilmesini önlemek için yapılan ve dişe son şansını veren bir tedavidir. İdeal şartlarda yapılan bir kanal tedavisi ve özellikle sonrasında yapılacak olan dolgu, kaplama gibi restorasyonlar sonucunda diş hayat boyu ağızda fonksiyon görebilir. Ancak kanal tedavisi ile dişin canlılığı yitirildiğinden dolayı diğer doğal dişlere nazaran kanal tedavili dişler daha kırılgan olabilir.

İdeal şartlarda yapılan bir kanal tedavisinin başarı oranı ortalama olarak %90 - %95'in üzerindedir. Döner başlıklı kanal aletlerinin uçlarının tedavi sırasında kök içinde kırılması veya kök kanallarının tam anlamıyla temizlenememesi (kök tıkanması vb.) durumunda, tekrar kanal tedavisi denenir bu tedavilere rağmen istenilen başarı sağlanmazsa cerrahi müdahaleler ile diş kurtarılmaya çalışılır.

Online Hekim danışmanlığı için tıklayınız

Talep Gönder

Randevu için bize ulaşabilirsiniz

Randevu Formu

Görsel seçin (opsiyonel)

Bu formu doldurduğunuzda, randevunuzu ayarlamak için çağrı merkezimiz tarafından 24 saat içinde sizinle iletişime geçilecektir. Sağlıklı günler dileriz

* Bu form aracılığıyla gönderdiğiniz bilgilerin gizliliğine önem veriyoruz.

Çalışma Saatlerimiz

İstanbul
Pzt. - C.tesi 09:00 - 20:00
Bursa
Pzt. - C.tesi 09:00 - 20:00

Lokasyonlarımız

Nereye Park edebilirim?

Parking

İstanbul klinik hastalarımız araçlarını ağaoğlu mynewwork açık alandaki valeye bırakabilirler. Aynı zamanda binamızın altında çok katlı ve büyük olan kapalı otoparkımızı kullanabilirler.

Bursa klinik hastalarımız araçlarını Orhaneli yolundan geldiklerinde Halkbank önündeki açık otoparka park edebilirler. Bursa klinik önündeki otopark alanı ücretsizdir.

Sitemizden tam anlamıyla faydalanabilmek için çerezleri onaylamanız gerekmektedir.Şayet istemiyorsanız tarayıcınızın çerez ayarlarından bu durumu değiştirebilirsiniz.